記者 吳慧芬/高雄報導

一根魚刺折磨四年、三度命危。高雄一名40多歲男子,因高燒腹痛被送醫,安排檢查發現是直腸膿瘍,且已併發敗血症命危,醫師為他緊急開刀,竟從膿瘍處取出一根3.5公分長的魚刺,男子清醒後指過去4年內,還有兩次高燒腹痛送急診情況,次次命危。醫師表示,民眾若誤吞魚刺後,不時會發燒、腹痛,應積極求醫,以防魚刺「破腸而出」,釀致命的危機。
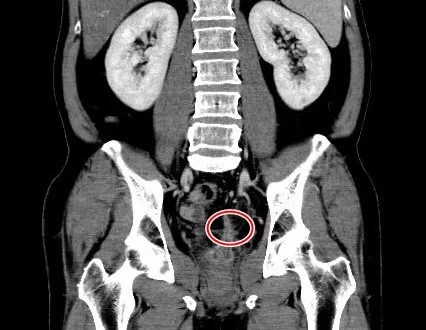
收治病例的高雄長庚醫院大腸直腸科主治醫師鄭功全表示,發著高燒的男子由他院轉到該院急診室時,已併發敗血症,在其腹部電腦斷層影像中,可看到男子直腸附近有膿瘍,另有個細微柱狀的陰影,懷疑是異物穿刺,隨即推他進手術室開刀。
鄭功全為男子開刀時發現他的直腸處有段潰瘍,予以清創發炎組織和膿瘍後,發現一根枝狀物穿出直腸,將其取出來,發現是一根長3.5公分的魚刺。
待術後清醒,鄭功全問男子是否曾吞進魚刺?男子說沒有印象,不過,除這次高燒腹痛被送急診外,近四年來,還有兩次相同的發病紀錄,每次都併發敗血症,都被發病危通知,但前兩次沒被開刀,而是住院打抗生素,在燒退、敗血症控制住後就返家,沒想到「ㄟ勾來地三拜(台語.又來第三次)。」
鄭功全研判,男子這四年來三度高燒腹痛與命危,禍首都是這根魚刺,魚刺早在四年前,就被男子吞進去,一路從胃、小腸、大腸到直腸處「穿腸而出」,平日無大礙,待男子疲累抵抗力低時,就成感染的「禍源」,誘發感染,使男子發高燒、腹痛,甚至併發敗血症。
鄭功全說,男子前兩次發病時,就醫的醫院對其投予抗生素,就控制了病況,因此男子免於被開刀即出院,不過,「禍源」還深藏在其體內,男子此次發病,終於被電腦斷層發現魚刺在體內的小小柱狀陰影,因此得以趕緊被開刀取出,自此也「永絕後患」。
鄭功全提醒,民眾吃魚時應細嚼慢嚥,若不慎誤吞魚刺,可先觀察,一般若未卡在喉嚨,多會從糞便排出,但若此後即會有腹痛、發燒等急性感染,應就醫檢查,以防魚刺穿出胃腸道。
此外,鄭功全也提醒,若魚刺鯁喉時,不要嚐試用吞飯、喝醋等偏方,這有可能使魚刺刺得更深,或傷及正常組織,應就醫請醫師以器械取出。


